Protetika
TIA dentico, Beograd - Protetika
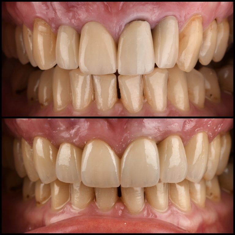
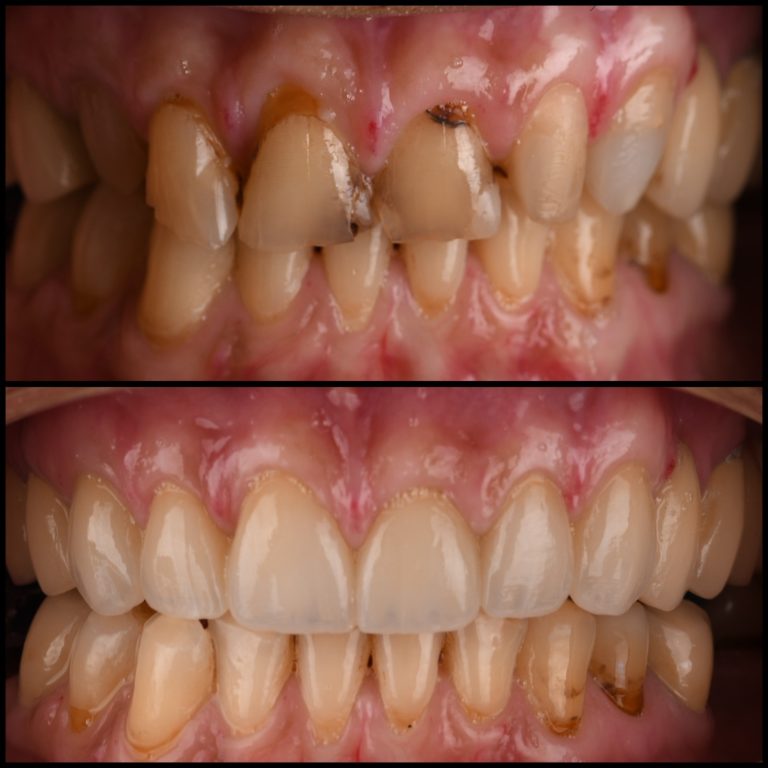
Naša protetska usluga omogućava vam potpunu transformaciju osmeha. Bilo da su vam potrebne fasete, mostovi, krunice, parcijalne ili totalne proteze, naš stručni tim posvećen je vraćanju funkcionalnosti i estetike vašem osmehu. Pored analognog načina uzimanja otiska koristimo I savremeni skener, koji pruža veću udobnost i brzinu. Skener omogućava precizno snimanje vaših zuba i usne duplje, olakšava komunikaciju sa tehnikom i omogućava pacijentu da aktivno učestvuje u planiranju i sagledavanju opcija u “digital smile designed” programu vodeći ka predvidivim rezultatima. Korišćenjem visokokvalitetnih materijala i preciznih tehnika u izradi protetskih radova,
obezbeđujemo prirodan izgled vaših novih zuba.
Dentalna protetika: Glavna podela
Mobilna protetika, u svom tradicionalnom obliku, sve više gubi na značaju. Zbog svoje glomaznosti i neudobnosti, često se koristi kao privremeno rešenje. Kao trajnija opcija bira se uglavnom zbog ekonomske isplativosti. Mnogi pacijenti imaju poteškoća s prilagođavanjem na mobilne proteze koje zauzimaju veći prostor u usnoj duplji kako bi se obezbedila stabilnost i čvrstina. Implanti nude kvalitetnije rešenje. Pružaju bolju stabilnost i zahtevaju manji obim protetike, što ih čini prirodnijom alternativom u odnosu na klasične zubne nadoknade. Totalna mobilna proteza koristi se za nadoknadu svih zuba u potpuno bezuboj gornjoj ili donjoj vilici, dok se parcijalna mobilna proteza koristi za zamenu jednog ili više izgubljenih zuba.
Fiksna protetika obuhvata protetske radove koji se trajno cementiraju na jedan ili više zuba koji služe kao nosači, i ne mogu se sami ukloniti. U ovu grupu spadaju krunice i mostovi. Krunice pomažu u očuvanju zuba, korigovanju njihovog položaja i poboljšanju estetike. Mostovi služe za nadoknadu izgubljenih zuba. Fiksna protetika se smatra zlatnim standardom u stomatološkoj protetici i može se primeniti u različitim slučajevima bezubosti. Ipak, njen glavni nedostatak jeste što zahteva brušenje zdravih zuba koji služe kao
nosači, čime se oni izlažu većoj osetljivosti. Takođe, zubi bez bočnih suseda mogu dovesti do povlačenja desni, što povećava rizik od karijesa i pucanja. Ponekad se ispod ovih radova zadržava hrana, što može izazvati neprijatan zadah. Kako bismo trajno rešili ovakve probleme, preporučuje se ugradnja dentalnih implantata. Oni štite zdrave
zube od brušenja, sprečavaju zadržavanje hrane ispod mostova i vraćaju funkciju žvakanja, izgovora i estetiku osmeha.
Implanti bi trebalo da budu preferirano rešenje u odnosu na tradicionalne metode poput krunica, mostova i mobilnih proteza. Postoji niz razloga za ovu odluku, a najvažniji su oni koji se tiču dobrobiti pacijenata.
Savremena tehnologija omogućila je izvođenje zahvata koji su donedavno bili nezamislivi. Intervencije koje sprovode naši iskusni stomatolozi danas su rutinske, bezbolne i brze.
Izbor protetskog rešenja
Nakon detaljnog dijagnostičkog pregleda i razgovora sa pacijentom, predstavljaju se dostupne opcije za rehabilitaciju oralnog zdravlja. U zavisnosti od individualnih potreba, želja pacijenta i stvarnih mogućnosti, mogu se predložiti izrada jedne ili više krunica, mostova, faseta ili totalne proteze.
KRUNICE
krunice su protetski nadoknade koje preuzimaju funkciju oštećenih ili izgubljenih prirodnih zuba. Služe kao zamena za zube koji su znatno oštećeni ili u potpunosti nedostaju. Savremena stomatologija omogućava izradu krunica koje deluju potpuno prirodno, a istovremeno su veoma izdržljive. Mogu se nijansirati tako da se savršeno uklope u postojeći niz zuba ili doprinesu stvaranju potpuno novog, estetski privlačnijeg osmeha.
Kada se preporučuju:
• Teško oštećeni zubi sa velikim karijesom
• Napukli ili slomljeni zubi
• Nedostatak celog zuba – u kombinaciji sa zubnim implantatom
• Estetska rekonstrukcija osmeha – zamena starih krunica ili prekrivanje zuba koji nisu estetski
zadovoljavajući.
MOSTOVI
Zubni mostovi su protetska rešenja koja nadoknađuju jedan ili više izgubljenih zuba. Sastoje se od više međusobno povezanih krunica koje se oslanjaju na zube sa obe strane praznog prostora. Mostovi omogućavaju vraćanje funkcije žvakanja, estetike osmeha i sprečavaju pomeranje preostalih zuba.
Kada se preporučuju mostovi:
• Kada nedostaje jedan ili više zuba u nizu
• Kada postoje zdravi zubi sa obe strane praznine, koji mogu da posluže kao nosači
• Kada pacijent ne želi ili nije kandidat za implantate
• U cilju poboljšanja izgleda osmeha i pravilne raspodele zagriza
Keramičke fasete (ljuspice)
Fasete su veoma tanke keramičke nadoknade koje se lepe na prednju površinu zuba kako bi značajno poboljšale estetski izgled osmeha. Ova metoda je posebno popularna među osobama sa zdravim zubima koje žele vizuelnu transformaciju bez većih stomatoloških zahvata. Fasete omogućavaju prirodan izgled, a istovremeno ispravljaju razne nepravilnosti u boji, obliku, veličini ili položaju zuba. Osim što daju estetski savršen rezultat, fasete su izdržljive, dugotrajne i zahtevaju minimalno brušenje prirodnog zuba pre postavljanja.
Kada se preporučuju keramičke fasete:
• Za estetsko unapređenje osmeha
• Kod zuba nepravilnog položaja
• Kod okrnjenih ili istrošenih zuba
• Za zatvaranje razmaka između zuba
All on 4
All on 6
Kod potpune bezubosti, najefikasnije rešenje je proteza na implantatima.
Implantati služe kao stabilna osnova, a proteza može biti trajno fiksirana ili skidajuća, u zavisnosti od kliničkog slučaja.
Indikacija: potpuna bezubost
Biokompatibilni materijali – bezbednost bez kompromisa
Za izradu naših protetskih radova koristimo najkvalitetnije keramičke materijale koji su biokompatibilni, dugotrajni i estetski vrhunski. U zavisnosti od slučaja, biramo različite vrste keramike i osnove koje obezbeđuju optimalnu funkcionalnost i izgled.
Metal-keramičke krunice
Idealne su za pacijente koji traže kombinaciju estetike, izdržljivosti i pristupačne cene.
• Imaju metalnu bazu koja pruža čvrstu potporu
• Keramički sloj potpuno prekriva metal, osiguravajući prirodan izgled
• Koriste se za pojedinačne krunice ili mostove, bez obzira na položaj u vilici
E.max krunice (staklo-keramika)
Za razliku od krunica sa tamnom metalnom bazom, E.max krunice nude vrhunsku estetiku.
• Zahvaljujući lomu svetlosti, savršeno oponašaju prirodnu strukturu zuba
• Idealne su za prednji deo usne duplje
• Mogu se koristiti i za kraće mostove u toj regiji
• Izrađuju se metodom prešanja keramike i CAD/CAM tehnologijom
Cirkon-keramičke krunice
Cirkonijum-oksidne krunice važe za najkvalitetniju estetsku opciju u stomatologiji.
• Pružaju izvanredan izgled i prirodnu boju
• Oblikuju se precizno pomoću CAD/CAM tehnologije
• Cirkonijum-oksid je izuzetno čvrst, pogodan za prednje estetske nadoknade
• Mogu se koristiti i za kraće mostove u zadnjem delu vilice, zavisno od indikacija
• Glavne prednosti su vrhunska estetika i dugotrajnost, kada su pravilno odabrane i postavljene
